Primary Pure Angiosarcoma of the Testis: A Case Report
DOI:
https://doi.org/10.46570/utjms.vol1-2014-82Keywords:
Testicle, Angiosarcoma, germ cell tumor, testicular neoplasm, sarcomaAbstract
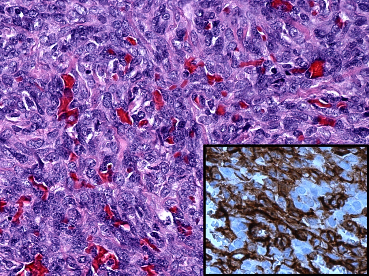
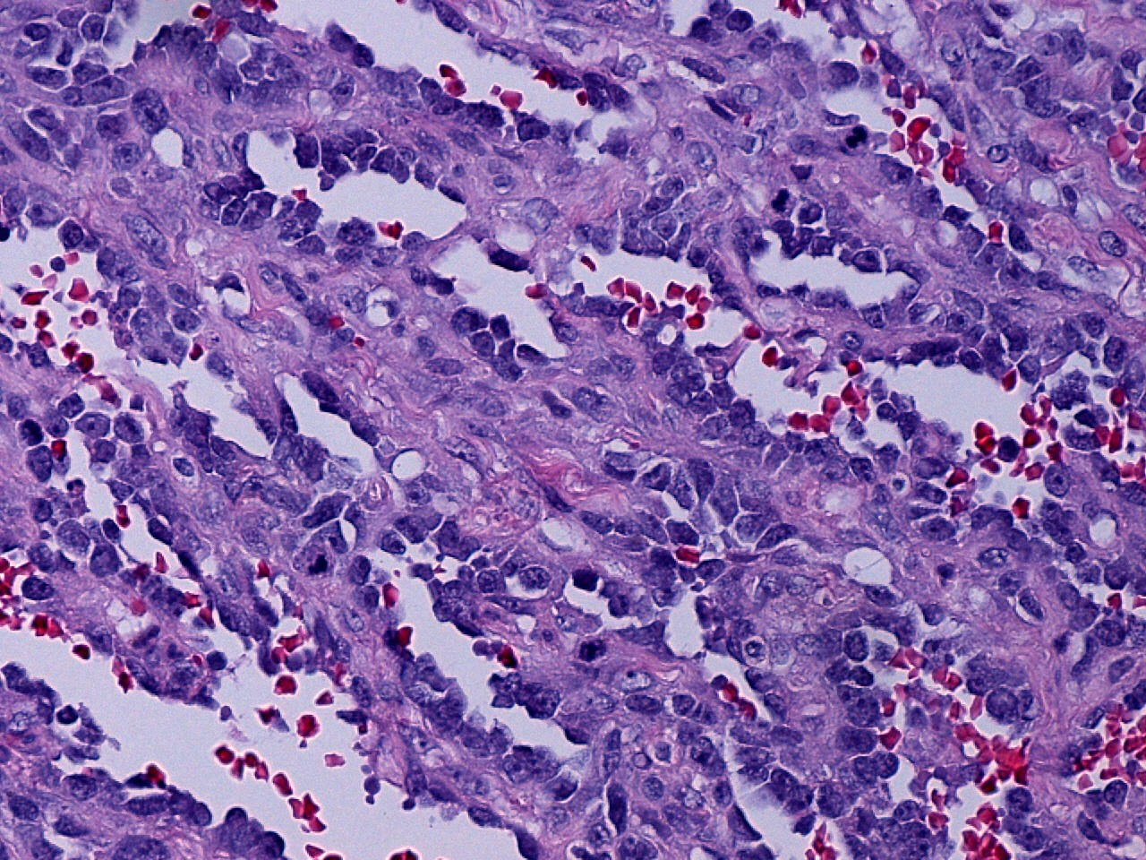
Angiosarcoma is a rare and aggressive, malignant neoplasm of endothelial-cell origin. A primary angiosarcoma originating in the testicle is extremely rare, with only five previous cases reported in the current literature. We report a case of primary, pure angiosarcoma of the testis in a 63-year-old patient with no history of previous chemotherapy or radiation therapy. By histology, the tumor was a high-grade spindle cell neoplasm, arranged in sheets and poorly-formed vascular channels. The tumor cells were positive for vascular markers (CD31, CD34) by immunohistochemical staining. No evidence of a germ cell component was seen by morphology, immunohistochemistry, or molecular genetic studies. This finding is unique in that it is one of only three reported cases of primary angiosarcomas of the testicle without a germ cell precursor or component.
References
Lucas DR (2009) Angiosarcoma, Radiation-Associated Angiosarcoma, and Atypical Vascular Lesion. Arch Pathol Lab Med 133(11): 1804-1809 DOI: https://doi.org/10.5858/133.11.1804
Young R, Brown N, Reed M, Hughes D, Woll P (2010) Angiosarcoma. Lancet oncology 11(10): 983-991 DOI: https://doi.org/10.1016/S1470-2045(10)70023-1
Armah HB, Rao UNM, Parwani AV (2007) Primary angiosarcoma of the testis: report of a rare entity and review of the literature. Diagnostic Pathology, 2:23 DOI: https://doi.org/10.1186/1746-1596-2-23
Fedok FG, Levin RJ, Maloney ME, Tipirneni K (1999) Angiosarcoma: Current Review. American Journal of Otolaryngology 20(4): 223-231 DOI: https://doi.org/10.1016/S0196-0709(99)90004-2
Poblet E, Gonzalez-Palacios F, Jimenez FJ, (1996) Different immunoreactivity of endothelial markers in well and poorly differentiated areas of angiosarcomas. Virchows Archiv-An International Journal of Pathology, 428(4-5): 217-221 DOI: https://doi.org/10.1007/BF00196693
Sheikine Y, Genega E, Melamed J, Lee P, Reuter V, Ye H (2012) Molecular genetics of testicular germ cell tumors. Am J Cancer Res 2(2): 153-167
Budd TG (2002) Management of Angiosarcoma. Current Oncology Reports 4(6): 515-519 DOI: https://doi.org/10.1007/s11912-002-0066-3
Downloads
Additional Files
Published
How to Cite
Issue
Section
License
Authors who publish with this journal agree to the following terms:
- Authors retain copyright and grant the journal right of first publication with the work simultaneously licensed under a Creative Commons Attribution License (CC BY 4.0) that allows others to share the work with an acknowledgement of the work's authorship and initial publication in this journal.
- Authors are able to enter into separate, additional contractual arrangements for the non-exclusive distribution of the journal's published version of the work (e.g., post it to an institutional repository or publish it in a book), with an acknowledgement of its initial publication in this journal.
- Authors are permitted and encouraged to post their work online (e.g., in institutional repositories or on their website) prior to and during the submission process, as it can lead to productive exchanges, as well as earlier and greater citation of published work (See The Effect of Open Access).

